2026年04月03日 | 星期五

科研教学

当前位置:首页 > 科研教学

10分钟生死时速救治 93岁心梗老人转危为安

发布日期:2022-04-20浏览次数:3700

93岁高龄老人,急性广泛前壁心梗,心源性休克,生命危在旦夕,沈阳市第五人民医院急症科、心内科、导管室多学科精准协作,开启了一场生死时速的救治,仅仅用时10分钟就为老人开通梗死血管,打通了患者的生命线。

4月19日晨,93岁高龄的王奶奶,突然出现胸痛、伴大汗,症状持续不缓解,其家属紧急将其送至沈阳市第五人民医院,急症科诊断为急性广泛前壁心梗、心源性休克、重度心力衰竭,每一种疾病对老人来说都是致命的。急症科立即一键启动胸痛中心,5分钟心内科、导管室等相关人员全部到位。“想挽救老人的生命,必须开通堵塞的血管,最佳方案就是介入手术。”心内科刁青主任说道。可高龄老人介入手术风险极高,术后并发症发生的可能性更高,救治与风险该如何抉择,摆在了心内科医务人员的面前。“这次手术是对我们团队整体救治能力的一次考验,生命高于一切,这场硬仗,我们只有一个选择,而且必须赢。”刁青坚定地说。

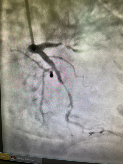
11.png

术前冠脉造影:前降支完全闭塞!右冠脉也有多处狭窄。

造影诊断:多支血管病变,前降支近端100%血栓闭塞。

  

刁青主任、王虹副主任经过充分的术前评估,并快速针对老人能否耐受手术、如何避免并发症发生等问题制定了切实可行的应急预案。细化流程,未雨绸缪,一边与家属做好治疗方案沟通,一边积极进行术前准备后,在家属充分信任与支持的情况下,将患者送入导管室进行介入手术。

22.png

时间就是生命,为了抢救生命,减少并发症,必须在最短的时间内完成此次介入手术,刁青主任顶着巨大的压力走上手术台,凭借多年的临床经验及相关医护人员的全力配合,仅用时10分钟就成功为患者于前降支置入两枚支架。

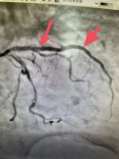
33.png

术后造影:前降支植入两枚支架(红色箭头)血管恢复正常

  

术后患者胸痛症状得到明显缓解,但血压仍较低,在CCU病房全程监护及心内一科医护团队的精心治疗与护理下,现患者已经转危为安,病情非常平稳。正是因为得到了这样及时、规范的救治,才为患者赢得了生的希望。家属满怀感激的说:“感谢刁青主任、王虹副主任及心内科的全体医护人员,是你们给了我母亲第二次生命”。

44.png

老人的成功救治彰显了五院强大的综合实力和救治能力。沈阳市第五医人民院将始终秉承“生命在我手中,责任在我心中”的崇高理念,在生命救治的战场上一如既往同时间赛跑,与死神较量,以五院人的坚守与担当护佑万千家庭的幸福安康。

55.png

刁青:沈阳市第五医院内科教研室主任、心内科主任、胸痛中心技术总监。中国医疗保健国际交流促进会心脏重症分会辽宁分会委员;辽宁省医学会内科学分会委员、辽宁省医学会心血管内科学分会委员、辽宁省医学会心脏电生理与起搏学分会委员;辽宁省中西医结合学会心血管内科常务委员;辽宁省中西医结合学会心律专业委员会常务委员;辽宁省中西医结合学会理事;辽宁省细胞生物学会心血管内科分会常务理事;辽宁省预防医学会心血管病预防与控制委员会常务委员;辽宁省康复医学会心血管分会理事;辽宁省生命科学学会心血管病全程管理专业委员会委员。沈阳市卫健委优秀专家。荣获沈阳市卫生局推广应用新技术一等奖一项,辽宁省科技进步二、三等奖各一项。参与完成国家 “十五” 科技攻关项目一项。协作完成国际第二、三项心脏保护研究。

对冠心病、高血压、心肌病、心律失常、心力衰竭、血脂紊乱等各种常见及复杂心脏病的诊治均具有较深的造诣。尤其擅长快速心律失常的射频消融治疗、缓慢性心律失常的起搏器植入治疗、冠心病的介入治疗。